Set 1
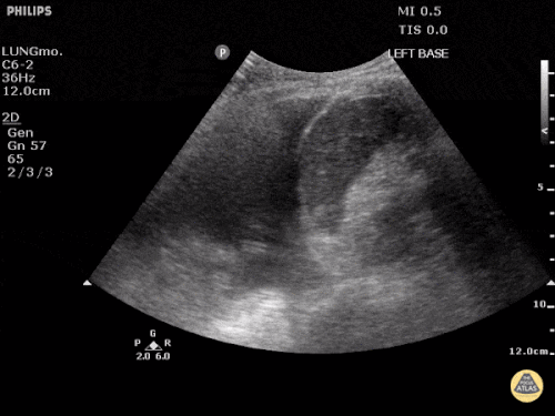
Question 1: A 50-year-old patient presents with dyspnea. fever, and cough. He started feeling poorly yesterday and has deteriorated steadily since then. His blood pressure is stable and he is requiring two liters of oxygen to maintain his saturation. This is the thoracic ultrasonography, starting at the diaphragm and moving upwards.
This is the ultrasound view with the probe held in place at the base of the lung.
- What radiographic finding does this correlate with on chest X-ray or CT scan?
- What are the most common causes of this type of radiologic pattern?
- What diagnosis do you think this patient has? Please try to be as specific as possible.
- What therapeutic regimen would you prescribe?
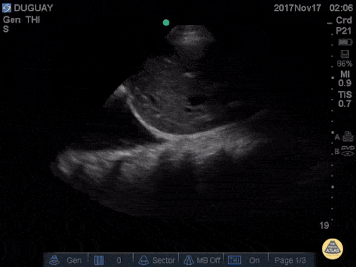
Question 2: This 65-year-old woman presents with dyspnea and fever. She presented to her doctor a week ago with fever and cough, for which she was treated with azithromycin. She was feeling better for a while, but has been declining for the past couple days.
- Describe the ultrasonographic findings.
- What is your differential diagnosis for this ultrasound pattern?
- What is your diagnostic and therapeutic plan for this patient?
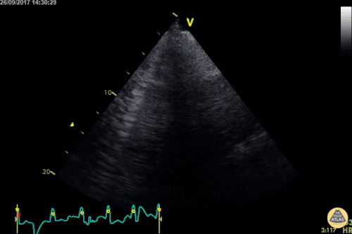
Question 3: You are called to evaluate a patient at a CATS call on M5. The patient is a 99-year-old man with diastolic dysfunction. His diuretics have been held for the past week due to renal dysfunction (currently his creatinine has plateaued at 4.8 mg/dL). He has been placed on BiPAP but continues having substantial work of breathing. The following images are obtained from his right thorax:
- Describe the ultrasonographic findings (Do you think this is a bird or a plane? Superman?)
- What is your diagnosis?
- What is the best therapeutic strategy for this patient?
Question 4: You are paged by the radiology resident because a patient has a pneumothorax. They are concerned about the following chest X-ray:
You go to examine the patient and they are eating dinner and watching television. You lie the patient flat on the bed and perform thoracic ultrasonography on the right chest. Throughout the chest you see the following pattern:
Questions:
- What do you think is going on?
- What information would you seek next?
- How would you manage this situation?
Set 2
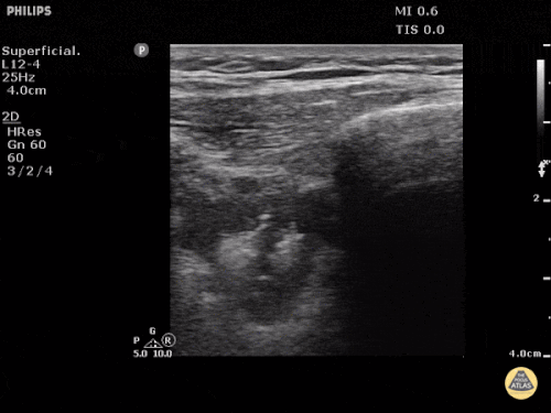
Question 1: You are ultrasounding a patient with pneumonia in the ICU when you come across this finding:
You zoom out and find this:
Questions:
- What the heck is going on here?
- What is your differential diagnosis for this ultrasonographic pattern in general? In this particular patient?
- How would you manage this patient?
Question 2: You are called to evaluate a patient with COPD who presented to the ED with severe dyspnea. She is on BiPAP with severely elevated work of breathing. The ED is setting up materials to intubate her. The right anterior side of her chest shows this:
What is wrong with this picture? You slide the probe laterally around her chest. At the very posterior portion of her thorax, right next to her spine, you encounter this finding:
Questions:
- What is your differential diagnosis?
- What is your next step with regards to managing this patient?
- Is intubation a good idea, a bad idea, or a really really bad idea? Why?
Question 3: These images come from different patients. They show two different signs which are used to clarify whether or not a pleural effusion is present.
Questions:
- For each image:
- How is this image generated & what does it show?
- Bonus: What is the name of the sign?
- Super Bonus: Use the ultrasound machine to re-generate these images.
Question 4a: What does this clip show? What is the differential of this finding? Why are the lines appearing and disappearing?
Question 4b: You are asked to evaluate a patient in respiratory failure. This pattern is present on both sides of the chest. However, it is also interrupted by the following pattern, in a checkered pattern:
What syndrome do you think this patient has? What would you expect to see on X-ray? CT scan?
Bonus Question 5: A paient on Shep 4 develops dyspnea. She has a clear chest X-ray and her chest ultrasound is mostly normal. However, on both sides of her chest you see the following pattern in a couple places.
Zoomed out:
Zoomed in:
- What is this?
- What is your differential for this ultrasonographic finding?
- How would you manage this patient?















Plz I need all that answer
Set 1 Q 1 hepatization and consolidation of the base of the lung denotes pneumonia Needs antibiotics Q2 serofibrinous empyema Needs antibiotics Fibrinoloytics Pneumonectomy Q3 massive pleural effusion with atelectasc lung Needs drainage Dialysis with hyperfilteration Q4 normally sliding pleura with B rockets spreading downwards Put M mode for Barcode sign Be perpendicular to chest wall Move to another space up Set 2 Q1 Effusion with confluent B lines ARDS Ventilation Drainage and AB Q2 Absence of sliding denotes pneumothorax Intubation and chest tube fixation Q3 image 1 8th ICs midaxillary line in the space Image 2 PLAP posteriorl axillary… Read more »
Bring Speed Stars Unblocked to world!